肺炎支原体来势汹汹,儿科专家支招如何防范

大众报业·齐鲁壹点 2021-12-11 3.6万

近日,肺炎支原体屡屡被提及,那么,到底什么是肺炎支原体?它给孩子们带来了哪些危害呢?我们该怎样治疗及预防它呢?济南市妇幼保健院儿科专家讲带大家系统了解下肺炎支原体这个病原体。

什么是肺炎支原体?

肺炎支原体(MP)是迄今发现的能在体外固体培养基上生长、不依靠活体细胞而生存的最小微生物。它既不属于细菌,也不属于病毒。因缺乏细胞壁,故对作用于细胞壁的抗菌药物,如头孢类、青霉素类固有耐药。肺炎支原体主要经飞沫接触,如感染者的喷嚏、咳嗽的痰液等,由呼吸道吸入感染,儿童和青少年是主要的感染群体。MP感染全年散发,我国北方以秋冬季为多,每3-7年有一次流行高峰,今年就是肺炎支原体流行年份。

感染MP后患儿有什么临床症状和体征呢?

感染MP后往往对患儿的肺部产生损害,表现为上、下呼吸道感染,患儿可发展为支气管炎、肺炎支原体肺炎(MPP)等,常表现为以下症状:1.发热:体温在 37-41℃,大多数在 39 ℃左右,可为持续性或弛张型,或仅有低热,甚至不发热。2.咳嗽:多数咳嗽重,刺激性干咳明显,有的患儿感染肺炎支原体后夜间咳嗽明显,后期有少量痰液,有时阵咳似百日咳,一般无呼吸困难表现。3.其它系统表现,除呼吸系统外,肺炎支原体也可引起其他系统的病变,消化系统,可出现呕吐、腹痛,以肝功能损害为主。神经系统,患儿可出现脑炎、脑膜炎等。血液系统,可引起粒细胞减少症、血小板减少症、凝血功能异常等。总之,肺炎支原体可引起全身系统疾病。MP感染后可引起多系统、多器官受累,可能与其引起免疫炎症反应及自身免疫反应有关。

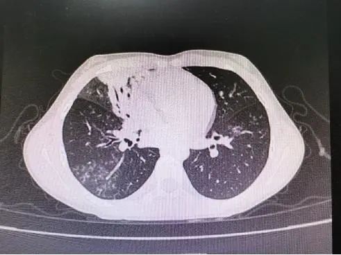
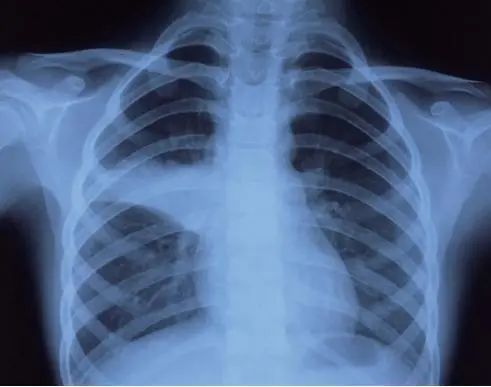
肺炎支原体肺炎的肺部体征及肺部影像学特点呈多样性改变,婴儿期可有湿性啰音,有时可呈梗阻性肺气肿体征。年长儿往往缺乏显著的胸部体征。肺炎支原体肺炎X线表现多样,有时仅为肺门阴影增重,多数呈不整齐云雾状肺浸润影,少数为大叶性实变影,可见肺不张,肺部阴影可呈游走性。CT大多数表现为磨玻璃样改变及肺间质性改变,体征轻微而胸片阴影显著,是本病特征之一。重症支原体肺炎时,可出现大叶性实变、坏死性肺炎、胸腔积液等。从目前住院患儿看,今年肺炎支原体感染所导致的大叶性肺炎明显高于往年。

 

      临床门诊工作中,我们可以抽取患儿指尖血化验肺炎支原体抗体来明确诊断,此方法准确率高,创伤小、花费少,检测时间短,患儿及家属接受率高,但此方法灵敏度略低。另外,还可抽取静脉血查肺炎支原体滴度,咽拭子测肺炎支原体核酸等。

感染了MP后,我们应该如何正确治疗?

肺炎支原体(MP)感染有一定自限性,轻症病例可在门诊治疗,以阿奇霉素为首选的大环内酯类抗菌药物是抗MP感染的一线药物,其他常用的大环内酯类药物包括红霉素、克拉霉素等。另外,四环素类、喹诺酮类药物都表现出对MPP的有效性,可以缩短症状持续时间。当患儿确定存在混合感染的时候,应在基础治疗同时及早给予经验性抗菌治疗。

近年来重症肺炎支原体肺炎(SMPP)及难治性肺炎支原体肺炎(RMPP)比例不断增高,部分MPP患儿由于受到各种因素的影响,在经过系统的药物治疗干预后,病情依然恶化、迁延不愈,临床上称为RMPP。糖皮质激素具有抗炎、抗过敏及调节免疫等广泛的药理作用,全身使用糖皮质激素是治疗SMPP 或RMPP 的重要选择之一,首选甲泼尼龙或泼尼松。一般认为应用大环内酯类药物7 d仍有发热或病情进展时开始应用,多数能取得良好疗效。RMPP或SMPP合并中枢神经系统病变、免疫性溶血性贫血、免疫性血小板减少性紫癜等自身免疫性疾病时可考虑应用人免疫球蛋白。

经过临床积极抗感染、抗炎等治疗效果不佳的难治性肺炎或重症肺炎合并肺不张、胸腔积液、闭塞性支气管炎、血管栓塞(如肺栓塞、心脏栓塞、脑栓塞等)等肺内、外并发症者,此时内科保守治疗不能满足危重患儿的需求,我们会建议患儿进一步行支气管镜检查与治疗。支气管镜不仅可清除痰栓及坏死黏膜阻塞,还可收集肺泡灌洗液进行病原分析,甚至局部介入治疗,解决RMPP并发的气道狭窄问题。

另外,可以配合中药治疗,以促进患儿病情尽早恢复。

专家提醒

冬季本就是呼吸道疾病高发季节,我们应避免带儿童去人多拥挤的公共场所,避免与呼吸道感染者接触。平时,我们应护理好孩子们,加强锻炼,合理饮食,积极接种疫苗,提高孩子们的免疫力,以尽力避免各种病原菌对孩子们造成伤害。

济南市妇幼保健院儿科一病区介绍 

济南市妇幼保健院儿科一病区共有专业技术人员24人,人才梯队结构合理,主任医师3名,副主任医师1名,主治医师3名, 博士生一名,研究生9名,拥有济南市“最美优秀医生”一名,济南市青年学术技术带头人一名,泉城科技明星一名。开放床位27张,床位使用率100%,急危重症抢救成功率100%,甲级病案率99%。

儿科一病区团队在小儿呼吸系统疾病的诊治方面积累了丰富的临床经验,特别擅长婴幼儿肺炎、喘息性疾病(毛细支气管炎、喘息性支气管炎、哮喘)、过敏性疾病等疾病的诊治及重症难治性肺炎、难治性喘息性疾病、慢性咳嗽病因诊断与治疗。

科室拥有适用于各年龄组使用的雾化吸入装置、呼出气一氧化氮检测仪、食物不耐受检测系统、呼吸道病原学监测、多参数心电监护仪、电脑中频治疗仪、肺功能检测仪等先进设备。开展多项治疗1.肺功能检测:拥有多功能肺功能仪,开展常规肺通气功能、潮气分析等检测,可满足各年龄组肺功能检查的需求。2. 拥有呼出气一氧化氮检测仪,开展各年龄组无创气道炎症检测3.还有多参数心电监护仪以及适用于各年龄组的雾化装置、机械振动排痰机、婴幼儿鼻腔冲洗器等,为呼吸道疾病的诊断、治疗、病情监测及疑难危重病人的救治提供了强大的技术支持。4. 积极开展特色治疗,针对痰多不易咳出患儿,可给予电脑中频治疗仪中药透皮中贴敷治疗,针对儿童口服中药困难,开展了中药灌肠疗法。对于高热不退者,积极给予青蒿泡脚辅助退热。

专 家 简 介

主任医师

李培杰 

门诊坐诊时间:周一全天、周三上午

儿保部副部长,山东省健康管理协会儿科呼吸专业委员会副主任委员,山东省中西医结合学会儿科分会副主任委员,济南医学会儿科分会副主任委员,山东省医学会儿科分会委员。《支原体肺炎患儿Toll样受体和Tim家族的表达与肺外损伤的研究》荣获山东医学科技创新成果奖三等奖,《毛细支气管炎发展为支气管哮喘婴幼儿高危因素及应用泛福舒免疫干预临床及免疫机制》荣获济南市科学技术进步奖二等奖,《婴幼儿肺炎支原体感染临床分型的研究》、《门诊病历原迹捕获识别检索重会信息系统的研究》、《济南市儿童细胞免疫功能的研究》荣获市科技进步三等奖三项。任《新生儿疾病问答》副主编。

擅长:对儿科常见病、多发病的诊治有丰富的临床经验,尤其擅长小儿呼吸系统疾病、疑难杂症及新生儿疾病的诊治。

主任医师

樊 青

门诊坐诊时间:周二全天、周四上午

医学硕士,主任医师,儿科主任。山东第一医科大学硕士生导师,山东中医药大学兼职副教授,首届泉城卫生科技明星,济南市第五届青年学术技术带头人,济南市巾帼建功标兵,济南市卫计系统科技创新人才。现任中国妇幼保健协会青年工作委员会委员、中国妇幼保健协会儿童变态反应专业委员会委员、山东省研究型医院协会变态反应学分会常务委员、山东省医学会第九届儿科分会呼吸专业委员、山东省中西医结合学会儿科专业委员。山东省医师协会儿科医师协会消化委员,济南中西医结合学会第一届儿科专业委员会副主任委员,≪医学论坛:当代儿科≫杂志常务编委。

自1994年毕业以来,一直工作在儿科临床一线,擅长儿科常见病、多发病的诊治,在小儿呼吸、免疫系统疾病诊治方面具有丰富的临床经验,擅长婴幼儿肺炎、喘息性疾病、哮喘、过敏性疾病、反复呼吸道感染、慢性咳嗽等呼吸系统疾病的诊治。

近年来,发表国家级论文6篇,SCI论文4篇。1项科研课题获得济南市科技进步二等奖。3项科研课题获得济南市科技进步三等奖。1项科研课题获得山东省医学科技三等奖。坐诊时间:星期四上午半天

主任医师

颜 萍

门诊坐诊时间:周三上午、周五全天

医学硕士。从事儿科临床工作30余年,有扎实的理论和临床基础, 山东省医师协会儿科分会委员,山东省医学会儿科分会委员心血管组委员,山东预防医学会医院健康教育专业委员会委员,山东免疫学会感染分会委员。主编、参编学术著作2部,发表国家级论文10余篇,SCI论文3篇,主研课题获市级科技进步奖二等奖1项、三等奖2项。

擅长:对儿科常见病、多发病的诊治有丰富的临床经验,尤其擅长小儿呼吸道感染性疾病、慢性咳嗽、喘息性疾病的诊断与治疗。

坐诊时间:星期三上午半天

副主任医师

高继勇

门诊坐诊时间:周四全天

儿科一区副主任,济南市妇幼保健协会儿科分会副主任委员,山东省研究型医院协会儿科呼吸专业委员会委员,山东省医学会变态反应分会免疫治疗学组成员,山东病理生理学会炎症发热感染专业委员会委员,山东省健康管理协会儿童保健及行为健康专业委员会委员,山东中西医结合学会儿科专业委员会委员,山东省残联儿童残疾筛查诊断小组委员,《医师论坛.当代儿科》杂志常务编委。

擅长:儿童慢性咳嗽,反复呼吸道感染等呼吸系统疾病,风湿免疫,儿童免疫接种及其他系统常见病多发病等方面临床工作。

责任编辑:秦聪聪

秦聪聪

关于健康的大小事,我都可以帮你问。

微信扫码进入小程序 微信扫码
进入小程序
我要报料

热门评论 我要评论 微信扫码
移动端评论

暂无评论

微信扫码
移动端评论